01-668 0630
cog75@eircom.net
Home
Biography
Dental Services
Gallery
Contact Us
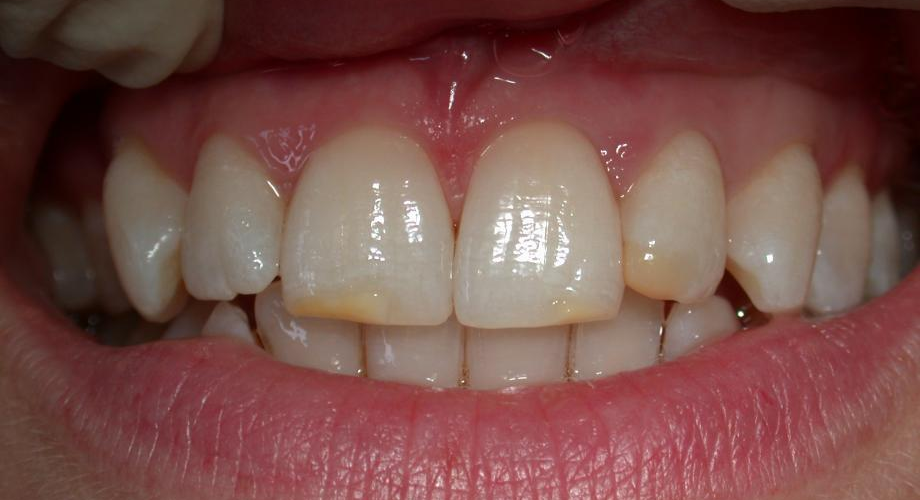
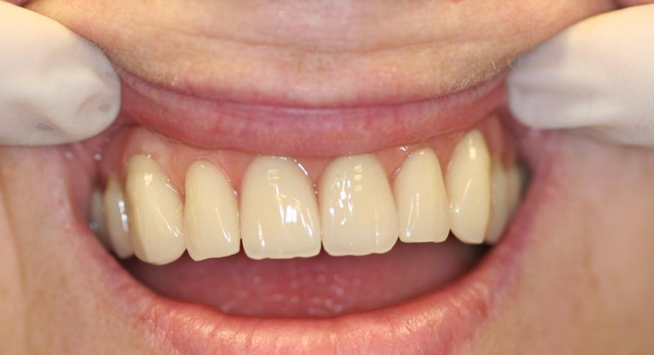
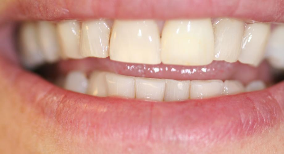
Gallery
prev
next